TRANSFORM
YOUR IMAGE WITH
FACIAL SURGERY

TYPES OF
FACIAL SURGERY

Facial surgeries improve the appearance and functionality of the face. Among the most common are rhinoplasty, facelift, and blepharoplasty. These procedures not only enhance beauty but also increase the patient’s confidence and self-esteem. They can also have functional benefits, such as improving breathing with rhinoplasty. Overall, facial surgeries contribute to a better quality of life.

info@majesticplasticsurgery.co

A bichectomy is a cosmetic procedure designed to reduce prominent cheekbones by removing the Bichat bags, fat deposits located in the middle of the cheeks. This treatment is popular among those seeking a more refined, angular face. The procedure is performed under local anesthesia, generally lasts less than an hour, and requires small incisions inside the mouth, which avoids externally visible scarring. Postoperative care typically involves minimal discomfort and a quick recovery, although the final results are fully appreciated after a few weeks. A bichectomy is especially valued for its ability to enhance facial contours and improve facial aesthetics.

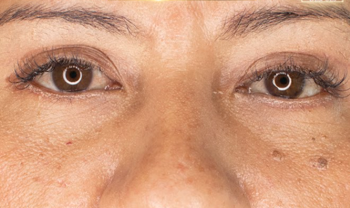
Blepharoplasty is a cosmetic surgery procedure that corrects eyelid problems, such as bags in the lower eyelids and excess skin in the upper eyelids. This procedure helps rejuvenate the appearance of the area around the eyes, giving a more rested and alert look. It is usually performed under local anesthesia with sedation and can last between one and three hours depending on whether both eyelids are treated. The incisions are designed to follow the natural lines of the eyelids, minimizing the visibility of scars. Recovery varies, but patients typically return to normal activities after one week, with results that can last for many years.

Mentoplasty is a surgical procedure that improves chin projection to achieve a more harmonious facial profile. It is performed through the placement of implants or reshaping of the jawbone. This procedure is ideal for those who wish to correct a receding or disproportionate chin, providing a more balanced and aesthetically pleasing facial contour.

Otoplasty is a surgical procedure performed to correct deformities and improve the appearance of the ears. This procedure is frequently sought by people with prominent or disproportionate ears, commonly known as “loop ears.” The surgery can be performed at any age after the ears have reached their adult size, usually starting at age six. The technique involves reshaping the cartilage to create a more natural, close-fitting ear. Otoplasty is performed under local or general anesthesia and typically lasts between one and two hours. The recovery period is relatively short, with patients returning to normal activities within a week, although they should avoid strenuous physical activity for a while. The results are permanent, providing a significant improvement in self-esteem and self-image.

Rhinoplasty is a cosmetic surgery that modifies the shape and size of the nose to improve its appearance or correct breathing problems. This procedure is highly personalized, tailored to the patient’s specific needs and desires, and may include reshaping the bridge of the nose, the tip of the nose, or the nostrils. It is performed under general or local anesthesia with sedation and typically lasts between one and three hours. Incisions are generally made inside the nose to avoid visible scarring. The recovery period may include swelling and bruising, with noticeable improvement after a few weeks, although the final result may take up to a year to fully manifest. Rhinoplasty can not only improve facial harmony but also the patient’s self-confidence.

Rhytidoplasty, commonly known as a facelift, is a surgical procedure designed to reduce the appearance of wrinkles and sagging skin on the face and neck, resulting in a more youthful and rejuvenated appearance. This surgery addresses loss of muscle tone, skin laxity, and can remove excess fat. It is usually performed under general anesthesia and can last several hours, depending on the extent of the treated area. Incisions are strategically placed in locations where scarring can be minimized, such as behind the ears and in the hairline. Full recovery can take several weeks, during which time swelling and bruising may be experienced. The results of a rhytidoplasty can be significant, offering a more defined facial contour and a noticeable reduction in the signs of aging.

Portfolio

BEFORE AND AFTER PHOTOS

“Rejuvenate your gaze with blepharoplasty: a safe and effective procedure to remove excess skin and bags under the eyelids. Natural results, a fresh and renewed look.”

Portfolio

BEFORE AND AFTER PHOTOS

Portfolio

BEFORE AND AFTER PHOTOS

Portfolio

BEFORE AND AFTER PHOTOS

Portfolio

BEFORE AND AFTER PHOTOS

Types of Surgery

MORE INFORMATION ABOUT FACIAL SURGERIES

Cirujanos Majestic Plastic Surgery

Welcome

WHAT IS MAJESTIC PLASTIC SURGERY?

Majestic is a plastic, reconstructive, and cosmetic surgery center led by an outstanding team of expert surgeons, leaders in the field of cosmetic surgery in Bogotá, Colombia, and internationally. We are pioneers in the use of cutting-edge technologies and the development of cutting-edge surgical and non-surgical procedures.

Monday – Friday 9 AM – 6 PM

Saturday: 9 AM – 1 PM

Sunday: CLOSED